My Portfolio


‘You don’t have to brush your teeth, just the ones you want to keep.’

* * *

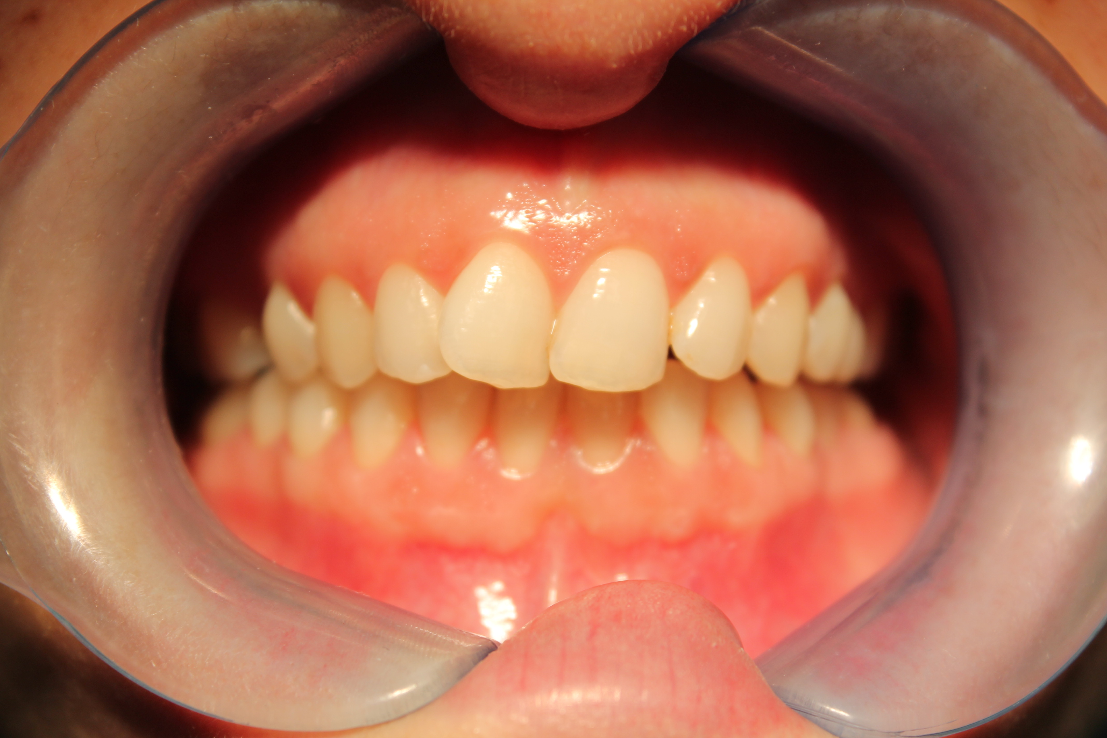
Cosmetic Braces and Whitening

This lovely gentleman came in to see me wanting to get his upper teeth straightened.  He was mainly concerned with his lateral incisors (second teeth from the centre on both sides) that were ‘tucked behind’ his front teeth and it made him conscious.  After 4 months of CFast cosmetic braces, we were able to bring the teeth into a better position. We finished the treatment off with some bonding and whitening treatment to enhance the results.

 

Cosmetic Braces on the lower arch

This pleasant gentleman came to see me with regards to the spacing between his lower teeth and the fact it affected his chewing ability.  We carried out CFast Braces and managed to realign the teeth and close the gaps up nicely within 7 months. Needless to say, the patient was extremely happy with the results and now feels more confident to smile!

 

Cosmetic Braces and Whitening

This gentleman had always wanted to have straight teeth and had felt that over the last few years his teeth ‘were getting worse’.  We went ahead with CFast Braces for his upper and lower teeth and after approximately 6 months, we managed to get some fantastic results.  I also carried out some composite bonding and whitening to enhance the end results. The patient was extremely grateful and happy!

 

Cosmetic Braces

This lovely lady came to me concerned with the position of her upper teeth and the spaces between them.  After going through the options with her, we went ahead with CFast Braces and after only 4 months of treatment, we were able to close the gaps and slightly ‘tuck the teeth backwards’.  She now has smile she always wanted!

 

Replacing a Cosmetic Crown

This lovely gentleman came to see me having always been unhappy with the crown he had placed on his front tooth. It was placed many years ago an, worn down.  Over the years it has become discoloured and due to gum recession, the margins of the crown were now visible. We were able to remove the crown, reshape and clean the tooth underneath and place a new crown over it.  The new crown is a much better colour match and sinks nicely into the gums.  We also managed to set the tooth back slightly so it is more in line with the adjacent teeth and close the space between the central teeth.  The patient was extremely happy with the end results.

 

Cosmetic Braces

This young patient was never satisfied with the end results of having braces when she was younger.  She felt the upper teeth from a ‘front-on’ angle did not appear to be straight and unfortunately her lower teeth slightly relapsed.  We carried out CFast Braces for her Upper and Lower teeth and after approximately 6 months, we were able to get some really nice results and now the patient is much happier with the appearance of her teeth!

 

Cosmetic Crowns and Veneers

This delightful young man came to see me because for many years he was unhappy with how his front teeth looked. He fractured his front teeth when he was younger and since then the fillings he had placed have been wearing down and discolouring, which made him very self conscious. We decided to go with all ceramic crowns on the central incisors and ceramic veneers on the lateral incisors (second teeth from the midline). We were able to manipulate the shape and shade to the patient’s specification and now he is continually showing off his brand new smile!

 

Cosmetic Whitening and Fillings

This lady presented to me mainly concerned with the ‘wearing down’ of her upper front teeth and she felt her teeth were of a yellow tinge. After carrying out a couple of weeks of a home whitening kit by Opalescence Whitening system, we then placed some cosmetic fillings to match the new colour and restore the worn enamel. The patient can smile with pride!

 

Cosmetic Whitening

This lady presented to me, after years of being unhappy with the colour of her teeth. She was no longer confident in her smile. Using a simple home whitening kit with the Opalescence Whitening system, we managed to get a dramatic change in colour in just 2 weeks! Needless to say, she was extremely happy with the end results!

 

Cosmetic Braces and Fillings

For many years this lady was unhappy with the appearance of her teeth, specifically the position of her upper right central incisor which was, in her own words ‘pushed backwards’. This also made it difficult to chew at the front and also caused her upper lip to sink in slightly. After 5 months of Cfast Braces, we were able to bring the teeth into alignment and even out her bite. We were able to enhance the results with some composite bonding and good hygiene around the teeth. The patient was extremely happy with the end results and the fact it took a relative short amount of time.

 

Cosmetic Braces and Fillings

This young man came to see me regarding his upper teeth. They were ‘always sticking out’ and he was never able to smile with confidence. We carried out CFast Braces for this upper teeth and along with some contouring and composite bonding, we achieved a much improved result and in only 7 months. He is extremely happy with the results achieved and can now smile with ease!

 

Cosmetic Braces

For many years this lovely lady was always unhappy with her teeth, especially her upper ones. We went ahead with CFast Braces and after only 4 months we were able to improve on their position, giving the patient her confidence back to smile with pride!

 

Cosmetic Braces and Whitening

This gentleman presented to me wanting to have his upper teeth straightened. He had a retained milk tooth which had prevented his adult canine from erupting into the ideal position. This also was affecting his bite. After careful consideration, we managed to treat this patient by removing the milk tooth and then placing CFast Braces on his upper teeth. After only 6 months, we were able to bring the canine forward, realign the teeth and close up the spaces. The patient enhanced the end results with some whitening treatment and now he is confident with his new teeth!

 

Cosmetic Braces and Whitening

This lovely lady came to see me because she was unhappy with her front teeth at the top and wanted them to be straightened in time for a friends wedding which she was to be a bridesmaid at. Using Cfast cosmetic braces, I was able to realign the upper teeth within 4 months and we managed to enhance her smile further with some whitening and cosmetic fillings, all in time for the wedding. She was extremely happy with the results and now cannot stop smiling!

 

SmileTRU Aligners followed by Enlighten Whitening

This lovely gentleman presented to me concerned with the spacing of his upper front teeth and also his old composite fillings which he wanted replaced. We carried out the space closure and realignment with SmileTRU Aligners over 5 1/2 Months. This was followed by Enlighten Whitening treatment to brighten up the colour and finally some composite bonding and replacement to fully enhance the smile!

 

Cosmetic Braces followed by Cosmetic Whitening

This lovely lady came to me concerned with the position of her upper left lateral incisor and she felt it was moving more forward over time. We carried out CFast Cosmetic Braces over a 4 month period and we managed to realign the teeth to where the patient desired. We finished off with some simple composite bonding to neaten her smile up.

Having braces not only enhances the position but it means once the teeth are straight, they are easier to clean around those initial tight spaces. Also during the treatment, you will automatically want to care for the teeth more and here is a great example where her gums were inflamed at the start but during and at the end, her oral hygiene significantly improved, which makes a big difference!

 

Cosmetic Braces and Composite Bonding

This lady presented to me concerned with the position of her upper and lower front teeth and the fact that they weren’t level. We carried out CFast Cosmetic Braces for 5 months before finishing off with some composite bonding to enhance the end result. She was really happy with her new smile!

 

Cosmetic Braces followed by Cosmetic Whitening and composite bonding
Masking the crossbite with Composite Veneers (Pre-Whitening treatment)

This young lady really wasn’t happy with the appearance of her smile. She wanted to get her teeth straighter and within a reasonable amount of time. After discussing all potential options we opted to carry out the realignment of her teeth via CFast Cosmetic Braces over a period of 9 months. We then carried out some cosmetic whitening to freshen up the appearance and composite bonding to ensure the teeth were all level.

If you notice before treatment commenced, her upper right premolars are in a crossbite where the top teeth are positioned more inwards compared to the lower teeth. We could have gone down the route of expanding the upper arch and rounding out the teeth position, but this would have taken a lot longer. We came up with the compromise where we would straighten her teeth, except the two premolars, and then mask their appearance by placing some veneers over them, to give the appearance of them being in the correct position.

The patient was really pleased with the end results and can now confidently smile. By discussing all the viable options, we managed to achieve the smile the patient wanted and also HOW she wanted to get it!

 

Cosmetic Braces and Whitening

This lady came to see me concerned that her upper front teeth were crossing over more over the recent years and it was making her more conscious. After discussing the potential options, we decided to carry out CFast Cosmetic Braces for the duration of only 4 months. This was followed by some composite bonding and cosmetic whitening treatment to finish it all off. The patient was really pleased and proud of her new smile!

 

This young man presented to me concerned with the appearance of his upper front teeth. As a young child, his teeth erupted through with discoloured enamel. He was diagnosed with enamel hypoplasia. This can be caused by environmental factors and carries the same symptoms as hereditary enamel hypoplasia, but can be caused by a variety of factors such as premature birth, malnutrition, bacterial and viral infections or trauma to the newly developing teeth and mouth. After discussing various options we opted for some Emax Ceramic Veneers masking the upper front six teeth. This was done alongside some thorough cleaning to improve the overall appearance of his teeth. He was extremely happy with the end results and is more confident with his smile!

 

Cosmetic Braces and Whitening

This young man presented to me primarily concerned with the position of his front teeth. He felt they were getting worse and wanted to get them straightened. We carried out CFast Cosmetic Braces for 6 months. This was followed by some Enlighten Whitening and Composite Bonding to enhance the end results. He was extremely pleased with the results!

Cosmetic Whitening and replacement bridge

This lovely lady presented to me concerned with the appearance of her lower bridge replacing one of her incisors. She lost this tooth when she was younger and a Maryland bridge with two metal wings either side for support was placed and it has been successful ever since. However the metal wings are becoming more noticeable over the years, which is noted by the ‘greyish’ colour shining through the edges of the supporting teeth. After discussions, we decided to carry out some simple home tooth whitening and then replace the bridge with a ceramic sticky bridge with no metal involved. This improved the overall appearance towards what the patient desired, with no more ‘grey’ shining through.

 

Cosmetic Whitening

This lovely lady wanted to freshen up her smile as she felt her teeth were becoming more discoloured over time. We carried out some simple home whitening and we were able to brighten up her smile only in a couple of weeks to the delight of the patient.

 

Cosmetic Whitening

This young man presented to me concerned with his discoloured teeth, which he attributed to him drinking 5-6 cups of coffee a day. Coffee and other ‘hard-staining’ foods and drinks cause extrinsic stains, which can be difficult to clean. But over prolonged time the teeth can begin to discolour further and so it was decided that some home whitening would be sufficient to lighten the colour of the teeth. The patient was also advised to cut down the intake of coffee and follow simple pieces of advice such as drinking through straws and rinsing out after drinking beverages to prevent further stains from building up. The patient was really happy with the results.

 

Cosmetic Bridge

This lovely lady unfortunately damaged her front tooth and it required extraction followed by an immediate denture to replace this tooth. After several months of healing we went through various other options to replace this tooth. The patient felt the crown on the adjacent tooth was slightly discoloured and so we opted to replace this and fill the gap via a 3-unit cosmetic bridge. The patient was satisfied with the overall result and can now confidently smile again!